穆勒─魏斯氏症 (Muller-Weissi syndrome)是一種少見的中足結構畸形,患者最常出現的足部樣子是後跟內翻合併扁平足,這與一般扁平足(合併足跟外翻)相反

(圖解)左圖為穆勒─魏斯氏症可看到患者的足跟內翻而且足弓偏低;右圖是較常見的扁平足合併足跟外翻
穆勒─魏斯氏症患者好發在中年女性,年齡約在40-60歲間,有文獻指出肥胖可能是導致症狀的原因;另外,若生活環境較困苦、從事高度勞力工作、營養不良,也可能是導致此症發生的一個原因

(圖解)穆勒─魏斯氏症大多發生在中年女性(40-60歲),而體重過重者也是其中一個危險因子。

(圖解)營養不良造成骨頭發育不良可能也是造成穆勒─魏斯氏症的原因之一
穆勒─魏斯氏症是因為中足舟狀骨出現畸形,舟狀骨的外側因為受壓,造成形狀改變,甚至生成贅骨,此過程會使舟狀骨周圍產生發炎、水腫、關節退化,導致疼痛。
而此症的病因目前未定論,根據學者提出主要可能有
三個原因:
- 舟狀骨的骨化延遲
- 骨化作用約是從三歲開始,若骨化未完全或是較遲緩,骨骼構造就會比較弱,此時若承受過大的壓迫,就可能造成骨骼變形;造成骨化遲緩可能是局部或是整體發展問題,可能是低社會經濟能力、貧困;或是內分泌與營養代謝吸收問題導致。
- 足部的受力分布不正常
·
以下是不正常的生物力學,有可能同時或單獨存在
● 原發性距下關節內翻 ( primary subtalar joint varus )
● 第一趾骨短小(先天或後天)( first ray brachymetatarsia )
● 第一趾幅因為舟狀骨內轉而變短
● 第一趾幅活動度過大(hyper mobility of 1 ray)
● 原發性距下關節內翻 ( primary subtalar joint varus )
● 第一趾骨短小(先天或後天)( first ray brachymetatarsia )
● 第一趾幅因為舟狀骨內轉而變短
● 第一趾幅活動度過大(hyper mobility of 1 ray)
這幾個原因會使足部承重活動時力矩向外偏移,使更多壓力轉移到第二指幅及舟狀骨外側;這個外側壓力會給舟狀骨形成剪力,造成舟狀骨外側壓迫,最後可能碎裂、變形。
而且這一個受到最大剪力的區塊,在舟狀骨中間到外三分之一,因為缺少豐富的血管支配,所以更容易損傷。所以Mohiuddin等學者認為,先天畸形的生物力學因素加上解剖構造(血管分布)這兩個因子造成舟狀骨容易出現應力性骨折(stress fracture),而Muller-Weissi 病可能是因為未被診斷出來的舟狀骨應力性骨折之後遺症。
- 舟狀骨壞死( Osteonecrosis )
·
另外也有學者提出穆勒─魏斯氏症是因為舟狀骨自發性壞死造成,可能因為創傷導致舟狀骨周圍的血管循環變差,產生骨壞死

(圖解)舟狀骨因為不正常的生物力學分布,導致外側(紅色箭頭處)壓力變大,若又有先天骨骼結構不良,就可能因為長期壓迫而裂開甚至產生贅骨

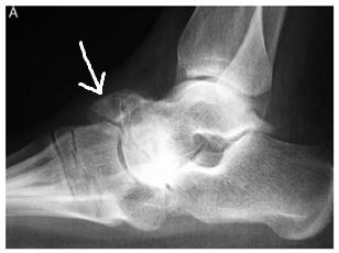
(圖解)圖為穆勒─魏斯氏症患者之X光,箭頭指的位置可以看到在腳背已經有贅骨的生成了

(圖解)右邊是有穆勒─魏斯氏症的患者,和左邊正常的舟狀骨比較起來,在圈起來範圍的右邊已經變薄,形狀像三角形
此症患者可能出現以下幾個症狀
- 慢性中後足疼痛(chronic mid foot and hind foot pain),可能持續非常多年了;
- 在中足腳背的內側有腫脹和壓痛(swelling and tenderness) ;
- 依嚴重程度,會有後足內翻(hind foot varus)加上正常或低的內縱足弓;
- 可能有突出的舟狀骨粗隆;
- 距下關節活動度可能減少;
- 抱怨膝蓋前側痛,最可能是因為脛骨外旋、足弓下塌(pes planus varus),造成髕骨路徑改變(patellar maltracking);
- 因為脛骨外轉,使外側腳踝向後位移。

(圖解)在中足可能有腫脹及壓痛,在承重時,在中足或後足也可能產生疼痛;通常持續好幾年。

(圖解)此症可能合併足跟內翻(varus)及低的內縱足弓,和一般扁平足合併足跟外翻(valgus)相反。

(圖解)因為足弓較扁平,可能伴隨突出的舟狀骨。

(圖解)距下關節(subtalar joint)的活動度可能減少,可能是因為長期維持在內翻角度,骨骼結構已有變異。
(圖解)因為後足內翻導致脛骨外轉,外踝相對向後,影響膝關節造成髕骨路徑移位。
治療
目前Muller-Weiss 病還沒有標準的治療方式,雖然研究使用不同的治療,但幾乎所有學者都支持一開始(2-60個月)先用保守治療,使用支持或補償性的矯具或是以石膏限制活動。
大部分的文獻指出若個案的舟狀骨已經裂開或更嚴重,則建議使用手術治療,文獻指出通常手術治療後的預後良好,對疼痛與功能都有幫助。

(圖解)上圖已經可以看到明顯的舟狀骨贅骨生成,可能需要手術治療
總結
穆勒─魏斯氏症在臨床上較少見,在之前遇到的個案中(包含未開刀或已進行手術矯正),常會發現有幾個共通點,像是都已經痛了好幾年以上(有些甚至幾十年),到最後實在是太痛了才到處求醫;若能在早期產生疼痛時就正視此問題,將不正常的生物力學角度利用特殊的鞋具來做支撐,也許是一個恰當的方式;雖然最後要使用保守治療還是手術開刀,還是需要與骨科的足踝專科醫師討論後,再做決定哦!
延伸閱讀: 文章列表
參考資料
1. Goedhart, L. M.,
Somford, M. P., Kempink, D. R., & Zeegers, A. V. (2015). [Muller-Weiss
disease: idiopathic avascular necrosis of the navicular bone]. Ned Tijdschr
Geneeskd, 159, A9036.
2. Lu, C. K., Fu, Y. C., Cheng, Y. M., & Huang, P. J. (2014). Isolated talonavicular arthrodesis for Muller-Weiss disease. Kaohsiung J Med Sci, 30(9), 471-476. doi:10.1016/j.kjms.2014.05.001
3. Mohiuddin, T., Jennison, T., & Damany, D. (2014). Muller-Weiss disease - review of current knowledge. Foot Ankle Surg, 20(2), 79-84. doi:10.1016/j.fas.2013.11.001
4. Nelson, E. W., & Rivello, G. J. (2012). Muller-Weiss disease of the tarsal navicular: an idiopathic case. J Foot Ankle Surg, 51(5), 636-641. doi:10.1053/j.jfas.2012.04.002
5. Wang, X., Ma, X., Zhang, C., Huang, J. Z., & Jiang, J. Y. (2012). Flatfoot in Muller-Weiss syndrome: a case series. J Med Case Rep, 6, 228. doi:10.1186/1752-1947-6-228
2. Lu, C. K., Fu, Y. C., Cheng, Y. M., & Huang, P. J. (2014). Isolated talonavicular arthrodesis for Muller-Weiss disease. Kaohsiung J Med Sci, 30(9), 471-476. doi:10.1016/j.kjms.2014.05.001
3. Mohiuddin, T., Jennison, T., & Damany, D. (2014). Muller-Weiss disease - review of current knowledge. Foot Ankle Surg, 20(2), 79-84. doi:10.1016/j.fas.2013.11.001
4. Nelson, E. W., & Rivello, G. J. (2012). Muller-Weiss disease of the tarsal navicular: an idiopathic case. J Foot Ankle Surg, 51(5), 636-641. doi:10.1053/j.jfas.2012.04.002
5. Wang, X., Ma, X., Zhang, C., Huang, J. Z., & Jiang, J. Y. (2012). Flatfoot in Muller-Weiss syndrome: a case series. J Med Case Rep, 6, 228. doi:10.1186/1752-1947-6-228