
腳踝扭傷(Ankle sprain)是很常見的運動傷害,根據統計,運動傷害中有10%-30%在腳踝,在這其中,外側扭傷更佔了85%以上,並且有多於30%-40%的患者會復發,產生重複性扭傷,反覆的扭傷可能會造成慢性踝關節不穩定(Chronic ankle instability)及踝關節炎(ankle osteoarthritis)。2
解剖構造
腳踝是由三個關節組成:
距腿關節(talocrural joint),
距骨下關節(subtalar joint)及
遠端脛腓聯合 (distal tibiofibular syndesmosis)


(圖解)距腿關節是由脛骨、腓骨、距骨所組成的關節,形狀類似絞鏈(hinge);脛腓聯合為脛骨和腓骨相接之關節


(圖解)距骨下關節是由距骨及跟骨組成的關節
常見的外側踝關節扭傷機制包含以下幾種3:
1. 前足內翻 forefoot adduction

2. 後足內翻 hindfoot inversion

3. 脛骨外轉 tibial external rotation
4. 腳踝蹠曲 ankle in plantar flexion



(圖解)不同等級的扭傷:第一級是輕微的韌帶拉扯;第二級為韌帶部分斷裂,約30%的纖維斷裂;第三級為完全或80-90%的斷裂,會產生關節不穩
5
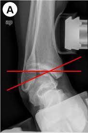
(圖解) A圖: 固定遠端,並給脛骨一個向外的力量,使外側距腿關節面打開,測量其變化角度,正常應小於5度,大於9度或較好側多2倍的角度為不正常
(圖解) B圖: 固定遠端,並給脛骨一個向後的力量,使後側距腿關節面打開,測量其變化長度,正常應小於5mm,5-10mm或較好側多3mm為不正常

4. 腳踝蹠曲 ankle in plantar flexion

發生外側腳踝扭傷後,韌帶、肌肉、肌腱、神經、本體覺受器都可能會受到損傷。1
容易受傷的韌帶有3條:
- 前距腓韌帶 Anterior talofibular ligament (ATFL):是穩定外側腳踝最重要的結構,不過也最容易受傷,功能為限制腳踝外翻(Supination)、向前位移(Anterior translation)、蹠屈(Plantarflexion)
- 跟腓韌帶 Calcaneofibular ligament (CFL):位於較深處的韌帶,是最強壯的外側腳踝韌帶
- 後距腓韌帶 Posterior talofibular ligament (PTFL)



根據 American Medical Association分類,韌帶扭傷分為三級 4
● 第一級 - 韌帶被拉扯到,輕微腫脹及疼痛,關節並沒有變鬆弛
● 第二級 - 韌帶部分撕裂(約30%)
● 第三級 - 韌帶完全斷裂
● 第二級 - 韌帶部分撕裂(約30%)
● 第三級 - 韌帶完全斷裂


鑑別診斷評估時,也需要檢查個案是否有以下問題:3
● 骨折(fracture)
(圖解)若扭傷時,產生為過大的向外扭力,可能造成韌帶附著至骨頭的位置產生骨折(avulsion fracture)

(圖解)若扭傷時,產生為過大的向外扭力,可能造成韌帶附著至骨頭的位置產生骨折(avulsion fracture)
● 高位的腳踝扭傷high-ankle sprain

(圖解)高位的腳踝扭傷之機制為當足部踩在地面時,膝蓋受到向內扭轉之力,在脛骨與腓骨之間產生剪力,使踝關節以上、脛腓之間的韌帶扭傷、撕裂或斷裂。

(圖解)高位的腳踝扭傷之機制為當足部踩在地面時,膝蓋受到向內扭轉之力,在脛骨與腓骨之間產生剪力,使踝關節以上、脛腓之間的韌帶扭傷、撕裂或斷裂。
● 內側腳踝扭傷medial-ankle sprain
(圖解)外翻會造成內側腳踝韌帶的扭傷,內側的組織受到拉扯的力量,而外側則為壓迫;多發生在激烈的運動,例如橄欖球或足球。

● 分離性骨軟骨炎osteochondral (OCD) lesion
(圖解)分離性骨軟骨炎通常發生在距骨上的軟骨,造成的原因有急性扭傷、跌倒重壓在腳踝上、嚴重的踝關節受傷、長期腳踝受力過重等,保守治療4-6週都沒有改善,可藉由X光、核磁共振影像看出。
● 骰狀骨症候群cuboid syndrome

(圖解)骰狀骨為腳踝七塊骨頭之一,位於外側;骰狀骨症候群多發生在過度使用或反覆扭傷後,骰狀骨產生半脫位,造成個案於承重或步行時會疼痛。

● 骰狀骨症候群cuboid syndrome

(圖解)骰狀骨為腳踝七塊骨頭之一,位於外側;骰狀骨症候群多發生在過度使用或反覆扭傷後,骰狀骨產生半脫位,造成個案於承重或步行時會疼痛。
慢性腳踝不穩定(Chronic ankle instability)1,4
扭傷後,個案若有接受完整的治療,包括護具固定、本體感覺訓練、肌力訓練,通常90%的個案會復原,若無則須接受手術治療。但通常會造成慢性腳踝不穩很大的原因是先前扭傷的腳踝未完全復原,從事較激烈的活動,又再扭傷造成韌帶的受傷。
扭傷後,個案若有接受完整的治療,包括護具固定、本體感覺訓練、肌力訓練,通常90%的個案會復原,若無則須接受手術治療。但通常會造成慢性腳踝不穩很大的原因是先前扭傷的腳踝未完全復原,從事較激烈的活動,又再扭傷造成韌帶的受傷。
學者Hertel提出的踝關節機械性不穩(Mechanical instability)及功能性不穩(Functional instability)模組目前被廣泛接受,兩者可能同時或單獨發生。● 機械性不穩(Mechanical instability):指解剖構造上的缺失,例如韌帶鬆弛、關節退化等有關● 功能性不穩(Functional instability):指的是功能上的缺損,例如本體感覺受損、神經肌肉的控制問題;個案可能感覺腳踝無力、無法控制,但是檢查關節的穩定度卻是正常的,即可能為本體感覺、神經肌肉控制、力量等受損所造成。
臨床表徵及症狀:1,3,4
● 反覆扭傷
● 疼痛
● 腫脹
● 肌肉力量變差
● 腳踝無力、難控制
● 無法回到以前活動的強度
● 反覆扭傷
● 疼痛
● 腫脹
● 肌肉力量變差
● 腳踝無力、難控制
● 無法回到以前活動的強度

影像學檢查
X 光
1. 承重下:比較兩邊腳踝是否對稱
2. Stress X ray:照片子時,給脛骨內向外或前向後之力量,並在X光影像中,測量骨頭與骨頭的相對位移角度及長度,檢查個案是否為機械性損傷。
X 光
1. 承重下:比較兩邊腳踝是否對稱
2. Stress X ray:照片子時,給脛骨內向外或前向後之力量,並在X光影像中,測量骨頭與骨頭的相對位移角度及長度,檢查個案是否為機械性損傷。


(圖解) A圖: 固定遠端,並給脛骨一個向外的力量,使外側距腿關節面打開,測量其變化角度,正常應小於5度,大於9度或較好側多2倍的角度為不正常
(圖解) B圖: 固定遠端,並給脛骨一個向後的力量,使後側距腿關節面打開,測量其變化長度,正常應小於5mm,5-10mm或較好側多3mm為不正常
MRI
對於慢性腳踝不穩的個案,可考慮使用核磁共振影像(MRI),可以看到關節內軟組織的問題,例如距骨軟骨退化;也可以看關節外的結構,例如韌帶、肌腱等。
對於慢性腳踝不穩的個案,可考慮使用核磁共振影像(MRI),可以看到關節內軟組織的問題,例如距骨軟骨退化;也可以看關節外的結構,例如韌帶、肌腱等。
病史及檢查 (Examination)
病史通常會在數個月前,發生腳踝扭傷,且感覺未痊癒。
慢性腳踝不穩定的理學檢查與一般腳踝扭傷相似,不過特別的是個案通常會感覺腳踝有一種特別無力或是不穩定的感覺。
另外,可再確認個案是否有瘀血、腫脹、壓痛點及腳踝活動度、韌帶鬆弛程度、肌肉力量等。
病史通常會在數個月前,發生腳踝扭傷,且感覺未痊癒。
慢性腳踝不穩定的理學檢查與一般腳踝扭傷相似,不過特別的是個案通常會感覺腳踝有一種特別無力或是不穩定的感覺。
另外,可再確認個案是否有瘀血、腫脹、壓痛點及腳踝活動度、韌帶鬆弛程度、肌肉力量等。
保守治療
治療目的主要就是要將腳踝做好保護,避免再受傷,同時加強周邊動態之穩定。
● 物理治療:待疼痛減少後,可給予肌力、平衡、本體感覺等訓練,幫助個案訓練神經肌肉之控制、強化周邊肌力,使踝關節的穩定度增加。

(圖解)待個案疼痛、腫脹減輕後,可利用彈力帶來訓練踝關節肢肌力;單腳站訓練平衡、本體覺,再加上不穩的平面,更增加挑戰。
治療目的主要就是要將腳踝做好保護,避免再受傷,同時加強周邊動態之穩定。
● 物理治療:待疼痛減少後,可給予肌力、平衡、本體感覺等訓練,幫助個案訓練神經肌肉之控制、強化周邊肌力,使踝關節的穩定度增加。


● 護具固定:保護腳踝,避免周邊組織一直受到拉扯無法復原,也防止再次扭傷,又再繼續惡性循環。
(圖解)此為功能性護踝,內外有較硬的支撐力,腳踝處設有可活動之關節,穿戴時不影響走路。
● 藥物:服用非類固醇之消炎藥,可能對於減緩疼痛及發炎有幫助。

(圖解)此為功能性護踝,內外有較硬的支撐力,腳踝處設有可活動之關節,穿戴時不影響走路。
● 藥物:服用非類固醇之消炎藥,可能對於減緩疼痛及發炎有幫助。

手術治療
● 當保守治療介入一段時間後(3-6個月),腳踝穩定度依然沒有進步,並且確認為機械性損傷,才會建議手術;不過也會看個案的狀況及需求而定。
● 常使用的手術方法(Modified Broström procedure)會在患側腳腓骨遠端的前外側,切一道弧形的切口,在腓骨鎖入一根螺絲當作錨,利用縫線將鬆弛的韌帶重新附著回腓骨,增加韌帶的強度。另外,也會將下伸肌腱支持帶(inferior extensor retinaculum)拉緊,因其走向與跟腓韌帶同向,故也可幫助加強韌帶的穩定度。若韌帶損傷非常嚴重,也可以使用移植肌腱來取代韌帶,常使用的腓骨肌肌腱,因其不需要再有第二個手術切口。7,8
● 當保守治療介入一段時間後(3-6個月),腳踝穩定度依然沒有進步,並且確認為機械性損傷,才會建議手術;不過也會看個案的狀況及需求而定。
● 常使用的手術方法(Modified Broström procedure)會在患側腳腓骨遠端的前外側,切一道弧形的切口,在腓骨鎖入一根螺絲當作錨,利用縫線將鬆弛的韌帶重新附著回腓骨,增加韌帶的強度。另外,也會將下伸肌腱支持帶(inferior extensor retinaculum)拉緊,因其走向與跟腓韌帶同向,故也可幫助加強韌帶的穩定度。若韌帶損傷非常嚴重,也可以使用移植肌腱來取代韌帶,常使用的腓骨肌肌腱,因其不需要再有第二個手術切口。7,8
● 術需要用石膏固定3-6週,在6週前,腳踝皆不能承重,以避免術後的韌帶又再受到拉扯而受傷● 6週後,在疼痛及腫脹之可忍受範圍內,個案可以開始做肌力訓練
● 完全復原至從前的運動需求,可能需要6-12個月的時間
● 完全復原至從前的運動需求,可能需要6-12個月的時間


● 因上述手術有較大的切口(約4cm),切開較多的軟組織,且可能使表面的神經受傷,目前有踝關節的關節鏡手術,縮小手術開口大小,減短復原時間。

結語
回顧許多文獻,皆指出腳踝扭傷後,若有接受完整的保守治療,雖然可能需要數月才能恢復到從前的程度,大部分人是可以痊癒的,當然也要看一開始受傷的嚴重程度!但有部分個案,受傷後並未接受治療,或是沒有完全復原,開始從事原來活動後,又再扭傷,反覆扭傷使韌帶結構強度變差、肌力下降、本體感覺損傷,造成慢性腳踝不穩,若一直沒有改善,可能就需要手術的介入;也有學者指出,通常運動員受傷後,可能會直接接受手術治療,將受傷的韌帶做修補,其實什麼時候需要手術,似乎也沒有絕對,還是以個人活動需求及意願為主!與專業人員溝通,找出適合自己的治療方式,才不會讓狀況更加惡化!
參考資料
1. Hiller, C. E., Kilbreath, S. L., & Refshauge, K. M. (2011). Chronic ankle instability: evolution of the model. J Athl Train, 46(2), 133-141. doi: 10.4085/1062-6050-46.2.133
2. Kobayashi, T., Tanaka, M., & Shida, M. (2016). Intrinsic Risk Factors of Lateral Ankle Sprain: A Systematic Review and Meta-analysis. Sports Health, 8(2), 190-193. doi: 10.1177/1941738115623775
3. McGovern, R. P., & Martin, R. L. (2016). Managing ankle ligament sprains and tears: current opinion. Open Access J Sports Med, 7, 33-42. doi: 10.2147/oajsm.s72334
4. OrthopaedicsOne Articles
5. http://www.wheelessonline.com/ortho/radiographic_studies_for_ankle_sprains
6. Neuromuscular Control in Ankle Instability
7. http://www.wheelessonline.com/ortho/modified_brostrom_procedure
8. http://www.aofas.org/footcaremd/treatments/Pages/Lateral-Ankle-Ligament-Reconstruction.aspx